Smile Gallery
Often the first impression you give to others is your smile. If you have a smile you are embarrassed to show the world, this can have a negative impact on your entire life. There is no need to be unhappy with your smile when there are so many cosmetic dental options available. At Avenue Family Dentistry, Dr. Paul Perez and Dr. Elizabeth Crapanzano work with you to improve both the form and function of your teeth. Let them transform your smile into something you can’t wait to show the world.

Full Anterior Restoration
Our patient presented to our office unhappy with her front teeth. The teeth were restored with eight porcelain crowns (one of which was an implant crown).

Upper 4 Ceramic Crowns
This patient came to us with multiple chronic infections, making most of the upper teeth hopeless. The patient underwent extractions, bone grafts, and received an upper partial denture.

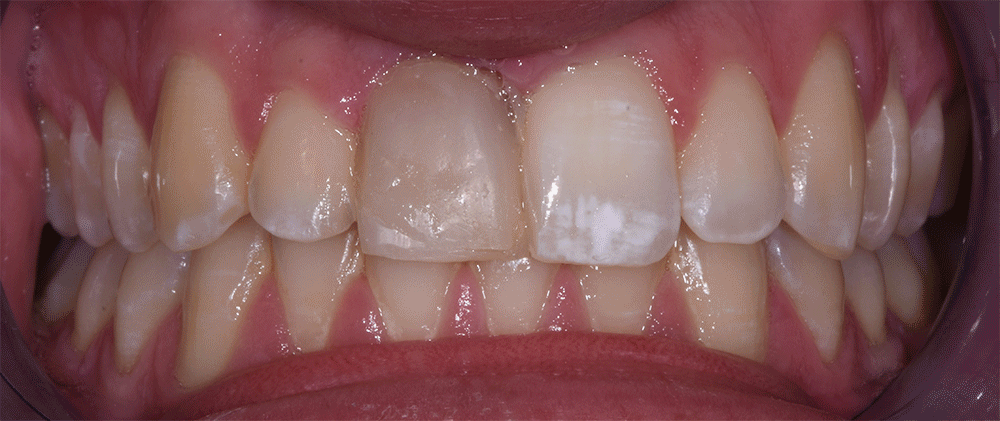
Chipped Front Teeth
Patient presented with several chips on her front teeth from years of wear. She had a special occasion rapidly approaching and wanted to look her best. We were able temporarily to polish up her look with some composite bonding! She left very happy.

Veneer
25 year old female patient came in with a chipped front tooth. She was having sensitivity on the tooth due to the trauma and was unhappy with the aesthetics of the chip. We decided to do a veneer on the tooth while leaving her other central incisor natural. The results were wonderful.

Anterior Crown/Implant
A male patient came in with front tooth issues, as well as having a gap between the teeth. After our treatment, his results were wonderful.


Removal of Gold Crowns/Anterior Zirconia Crowns
Our patient came in and wanted to remove his front four gold crowns and replace them with more aesthetic crowns. We removed all gold crowns and placed porcelain crowns on his front teeth.

Fillings on a Chipped Front Tooth
Our patient came in with a chip on his front tooth. The tooth was smoothed out and a filling was placed. The patient was very happy to be able to smile again!

Chipped Tooth
This patient chipped off a large portion of her front tooth. She left “whole” again.

Teeth Cleaning
Pre-cleaning/Post-Cleaning. Removal of heavy plaque and staining.

Single Ceramic Crown
A single ceramic crown replacing a failing bonding.